Descent Into The Abyss
In December 2005 I knew something wasn't right with me, although I couldn't pin point what exactly. The energy that I once had seem to have disappeared somewhat and for a few odd days I found myself sleeping for virtually the entire day. I developed a very mild but permanent sore throat. January of 2006 rolled around and these symptoms continued until I stayed up all night at a party then entirely skipped sleep that day. The next day I felt fine. The day after that I felt fine. The day after that my health totally fell apart. It was if I had caught flu, but instead of the symptoms lasting for just a few days, they went on for weeks and months. I had headaches, needed a lot of sleep, and generally felt terrible. My sleeping became very disturbed, I seemed to totally lose control of it. I was sleeping so much that my body clock could no longer function properly. I had no day or night, I would just wake up randomly then my day, short as it was would start from then. So I would wake up at 4am or 4pm and carry on my day. Feeling so ill waking up earlier to correct my sleeping was interolerable so I opted instead to push it the other way around the clock, which I did many times. It was a very lonely time for me. A few months after my health falling apart I was given a clue as to what was wrong with me, I developed an infection at the back of one of my molars in my mouth that lasted a few weeks, and when it finished it left what I thought was a very small hole in my jaw. I tried to keep it as clean as possible. The doctors blood tested me for about everything they could think of, but nothing showed up, except perhaps a slight anomalie on my liver function test, but they debated whether or not it was outside of the normal range for someone of my age, but came to no real conclusions. Eventually they diagnosed me with chronic fatigue syndrome, a nightmare diagnosis for me because my sister had CFS for 5 years, my mother had CFS for virtually my entire life and suffered greatly with it, and now I had it.
Later in 2006 I would finally go to the dentist for a checkup. He told me everything was fine and tried to send me on my way, but before he could i quizzed him about what I thought was a small hole behind my back molar. He told me it was just where a wisdom tooth was coming through, and that it would cause me problems. Great I thought, what kind of problems? But before he would really elaborate I was sent on my way.
I carried on playing the waiting game, I hoped that my body would be able to fix whatever was wrong with me, after all it had always done so before in the past. Sometime in 2006 I then developed a fairly large swelling on the right side of my neck (the other side to my wisdom tooth problem). It erupted in my throat a week or so after the infection started. I hoped that this was the point where my body was fighting off this virus I thought I had, but sadly my problems continued.
Time To Do Something
In January of 2007 I decided since the doctors had no idea what was wrong with me, it was up to me so solve this problem. Being too ill to work, I literally had a lot of time on my hands to figure it out. The first thing I looked into was nutrition. It seems that the first most basic principle for good health is nutrition, yet the doctors never once thought to ask what I was eating. I realised the chocolate and sugar breakfast cereals weren't doing me any favours so I stopped eating those. It turns out in the US some breakfast cereals are more than half sugar. Refined sugar is actually really bad for you and should be avoided at all costs. I switched to cereals without any chocolate or sugar and tried to eat as much fruit as I could. As a kid I hated vegetables, not all of them, but most of them. And as an adult I never really consumed many of them, favouring meats and cheeses instead. I made a conscious effort to eat vegetables, not just some vegetables but all vegetables! My change in diet payed off a little but since poor diet wasn't the cause of my health problems, it wasn't going to fix me. But it definitely helped, and I've never looked back.
After researching more and finding out about the dangers of fluoride and the other chemicals and pharmaceutical drugs that end up in the water supply I decided it was a good idea to invest in quite an expensive water filter. While this too didn't fix me of my health problems, it wasn't going to hurt at all. The water that came out of the water filter tasted really good so it was a worthwhile investment.
I tried exercising a little. Whilst if I did too much, it would literally destroy me, small amounts of exercise seemed to help. It is well known that moderate exercise is really good for the immune system. Exercise is also really important for the lymphatic system. The lymphatic system is a very busy network of vessels and nodes that course the entire body. It is responsible for regulating fluids, distributing proteins and filtering out toxins from the fluid between the cells. But its obligation doesn't stop there, the tonsils, thymus and spleen are all part of the lymphatic system as well as the immune system. Unlike the circulatory system, the lymphatic system has no natural pump and relies on you moving about to stimulate flow. This probably goes a long way to explain why I felt so terrible upon waking every day. People that stay in bed all day, without the movement needed for the lymphatic system, toxins can accumulate in their bodies further making them sick.
I read about stress and the immune system and wondered if me being depressed about my illness could have actually been physically effecting me. While not really sure if this was actually possible I tried quite seriously to have a positive outlook. While I am not really sure it helped physically, having a positive outlook helped me focus looking for answers. Depression can spiral into a self destructive downturn.
By the summer of 2007 came around I was actually feeling quite a lot better. Whether it was because my body had naturally fought off whatever was making me ill, or whether the changes I had made had made enough of a difference to help me get some of my health back, I don't know. But I didn't really care, I was just happier to be feeling better and embarked on a quest to get a job and start earning some proper money. I found some pub work, only 12 hours a week, with a day of rest in between each day that suited me perfectly. But the decision to try and start work was a bad one, because not long after I had started work my health really deteriorated to the point I was sleeping virtually all the time of my days off. 12 hours a week really pushed me over the edge. But I didn't quit, I just tried to work through it. For the most part it was very hard, and i felt truly awful.
Perhaps The Problem Was All In My Head
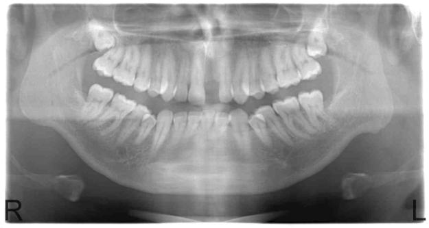
Near the end of 2007 I developed a lot of pain in the lymph nodes on the left side of my neck. Concerned that this wisdom tooth that was growing horizontally could have been the problem I went to a local dentist, that x-rayed my jaw for me. He put my fears at ease by telling me that as long as I didn't get any pain, swelling or puss then it would be fine. I never had any of those problems so that put my fears to rest. Dental problems intrigued me thought and I started to do research on the subject of root canals. The more I researched the more I realised that there was just no way of keeping these sterile and that the ability to withstand root canal was linked to the ability of your immune system to deal with the toxins produced from these teeth. In study after study I read, they tried various different chemicals inside the root canals and the outcomes were always the same. Although some of the chemicals could penetrate the dentin tubules in the teeth, none could fully eliminate the bacteria. This really concerned me as a kid I had been knocked really hard in the mouth and one of my front teeth had died, and the dentist at the time performed a root canal on it. By the time I first got ill, it had been there for well over a decade. Losing one of my front teeth was something that I really didn't want so if I was going to get it pulled, I had to be 100% sure I wouldn't regret this decision. It seemed the arguments for the safety of root canal were just the fact that dentists had been doing it for over 100 years, and the arguments against were in studies, like those performed by Weston Price showed that they could cause serious diseases in people. By the time January of 2008 had rolled around my health was so bad, I just had to try it. So I found a dentist that was educated in the proper extraction of teeth, which is to thoroughly clean the socket and remove the peridontal ligaments. The dentist extracted my front tooth, and to my surprise, and hers it looked absolutely fine. I was expecting it to be stinking or for the root to be decayed somewhat, which was clearly not the case. When she cleaned the socket, she found something that I was not expecting. Although the tooth itself looked fine, all the bone around the tooth had turned into what she described as mush. What was once healthy bone had died and was decaying. She kept removing the bone around the socket until she reached healthy bone.
About a month after the extraction of my front tooth I noticed a big change in my health. I had a lot more energy than I used to, and when I did too much, it wasn't still effecting me days and days later. I clearly had found a large source of infection in my jaw. But this infection had been there for over a decade already, and had never been enough to bring down my health before. With my new energy I was able to take on more work, and I spent quite a lot of time my time helping my Dad on the farm, which is something I really enjoy doing. About 3 months later thought my health again started to deteriorate. The pain I was getting in the lymph nodes on the left side of my neck was getting really bad and my underarms were swelling up and the skin was pealing off. I immediately knew that I must have had an infection around my wisdom tooth, regardless of the advice the dentist had given me, so I set upon a quest to get that tooth removed. This proved to be a lot harder than I thought because most dentist won't touch horizontally impacted wisdom teeth. The dentist that had removed my front tooth, couldn't do it, but she kindly gave me a copy of my own x-ray, which is something my local dentist refused to do. It showed I had this problem.

The shadow area under the tooth is literally where infection has destroyed the bone. How my local dentist could think this is fine, I've no idea. The dentist that extracted my front tooth referred me to a dentist in Bristol, that she thought could extract my wisdom teeth. This dentist in Bristol had a unique perspective on dental problems as he had developed cavitations from poor extraction of his wisdom teeth, but also had a root canal next to the site of one of the cavitations. The infection in that area of his jaw had eaten a channel through his jawbone, almost killing him. One of his dentist friends did the surgery on him. Due to insurance reasons he couldn't operate on me though, which was just as well as I couldn't take someone seriously that tried to cast evil spirits out of me, even if he was genuine. (He opened the window to let them out.) I finally found a maxillofacial surgeon locally that I trusted enough to opperate on me. He told me he had stopped counting the number of wisdom teeth extractions he had done when he got to 10,000. I asked him if he had ever heard of cavitations, and he hadn't. So I printed just about everything on the subject I could find on it and asked him to read it. He did. He was pretty shocked at what he read and happily went along with the changes I suggested, which was to remove the peridontal ligaments and thoroughly clean the socket. When I had the surgery, he removed the tooth and found quite a lot of mushy infected bone under the tooth. He cut it out and showed it to me. He did his best to clean the socket, scrape out the ligaments and stitched me up. Because I didn't have much gum around that wisdom tooth I was left with an open hole, for virtually 4 months. The dentist packed it with a sort of wool packed with oil of cloves. A month or two after surger, again I noticed a difference in my health. This time it was a big difference, for the first time in literally years, my sore throat went, no more swelling in my underarms. My health had really returned to me, it was fantastic. When the hole finally healed up, I got my other horizontally impacted wisdom tooth removed. For a while, everything seemed good.
When 2009 rolled around, my health, yet again started to deteriorate, which considering all that I had already been through, was extremely depressing. I went back to the dentist that did the surgeries on me, he x-rayed my jaw and told me both sites had healed really well. This was my x-ray. You can see a little 'scarring' of the bone above where the teeth would have been, but you definitely can't seeany holes in the bone.

Considering my health was so bad I came to the conclusion that I must have developed cavitations from the wisdom tooth surgeries I had. So I set yet on another quest, this time to find a dentist with a Cavitat scanner. A Cavitat scanner is a special ultra sound scanner that can show blood flow in the jaw. Areas with no blood flow are holes, or areas of dead bone. There are only two dentists with cavitation scanners in the UK, so I went to see the closest, which was only an hour away. He scanned my jaw and it showed large areas of red. He further x-rayed my jaw (twice) and sent them off to an endodontist to examine, but he didn't really come to any conclusions as to what was wrong exactly, and neither did the dentist I went to see. So really it was a giant waste of my time and money. I then decided to go see the other dentist which had a scanner. He scanned my jaw and produced identical results, to the first dentist.
These were the results for my right side.

Tooth 38 was where my wisdom tooth once was. You can see there is a hole there. But disturbingly for me, there is also a fairly large bone defect under the adjacement molar.
These were my result for my left side.

Tooth 48 was where my other wisdom tooth used to be. It's showing absolutely no blood flow at all, which indicates a pretty serious problem there. But again, more disturbingly tooth number 47 and 46 both seem to be effected.
The dentist used a special infrared laser thermometer in my mouth on the places where I had my wisdom teeth removed. He found these areas were 0.4 degrees C cooler than the rest of my mouth. The reason for this is obvious, there is no blood flow in these areas. He seemed to know exactly what was wrong.
The dentist told me, in order for them to be able to get all of the infection out, I would have to lose tooth number 37 and 47 (my back molars) and possibly tooth number 46 as well depending on how far the infection had spread. He also found an infection high up in the bone where I had my front tooth extracted. The operation to remove it and the infected bone hadn't entirely been successful firstly time around unfortuntately. Perhaps the Hal Huggins extraction technique is flawed. I reluctantly agreed to what they suggested and allowed them to operate on me.
The Beginning Of The End
In the year previous I had already had 3 operations on my mouth and the thought of having 3 more was almost terrifying really. Especially considering the removal of my left wisdom tooth had been the most painful thing by far I've ever experienced. It turns out anaesthetic isn't as effective if there is an infection in the bone. But what they found when they opened me up made it all worthwhile.
On my right side, contrary to what the surgeon who extracted my teeth told me, there had been absolutely no healing of the bone. When they opened it up they just found a large black hole where the tooth used to be.
On the left side, they also found a rather large hole. This is the opening to it.
When they opened this side up, a terrible smell was released, they had found the infection ! The infection had entirely destroyed the bone under the adjacent tooth, and part of the bone around the next tooth. What used to be healthy bone, had turned into a sort of mushy jelly. This is some of what they cut out of my jaw. It's not a great picture but you can just about see it.
This jelly stuff they cut out of my jaw, I had seen it before. When I first had the operation to extract my wisdom tooth on the left side, the dentist removed a lot of what looked exactly like that. The dentist thoroughly cleaned out the area, and cut enough bone away to hopefully stimulate healing, then stitched me up.
I also had surgery a day later in the front of my mouth. I had a bone defect there, but it wasn't mushy and stinky like the left wisdom tooth area.
It turns out I still had some peridontal ligaments left over at the site of my front tooth. Perhaps that's why it never healed as well as it could have done. Or maybe the Hal Huggins removal technique, of slowly drilling away the bone is flawed. This surgeon did very little drilling at all, and mostly cut the bone away with hand tools. The cutting technique is a lot less traumatic than drilling. I was left with very little swelling on the right side, or the front. The left side was fairly swollen, probably due to the sheer size of the area they worked on.
6 Months Of Relief
For the next 6 months my health steadily got better. The lymph node pain in my neck calmed down, my energy levels seemed to return. But the relief was not to last. Almost exactly 6 months after the operation the pain returned in the left side of my neck. To start with it was just an annoyance, but it steadily got worse until the point I was pretty much disabled again. I knew the infection had come back. I went back to the dentist, but this time the x-ray was totally clear and so was the cavitat scan. 1 year after the original operation the dentist agreed to open up the old extraction site again and operate on me again. Not knowing exactly where the problem was, he simply opened me up, and pushed down really hard with one of his dental tools. Using enough force he managed to break the thin layer of bone covering the cavitation site. It was a thin channel that extended along my jaw line. I had it surgically cleaned and was sent on my way.
Failure
The previous operation only brought me temporary relief at best. By the time 6 months had come around I seemed to be deteriorating fast. I had developed a really severe chest pain, that extended from my neck half the way down my chest. I had started to lose feeling and taste on the left side of my tongue. My vision was being effected, it was getting really ridiculous. I knew the problem was still there, but x-ray, and cavitat had given me the all clear, and I already had one repeat surgery there. In desperation I went out and got an MRI scan done. The official report from the hospital was, I had an enlarged tonsil on my left side, but they could find no problems or areas of concern with the bone. Thankfully at the time of the scan I had paid to have my own copy. I took it home and studied it until I found where the problem was. This is what the scans looked like:
I showed these to my dentist and he agreed to operate on me as soon as possible. Since I had seem him last he had invested in a new FLIR (forward looking infrared) camera. He took some photos of my face with them before the surgery and you could actually see a hot spot on my jawline where the infection was. Unfortunately at this time I don't have these photos. That together with the MRI was all the information he needed to operate. The MRI had shown that basically the entire area was infected. In the previous surgery he had simply not opened up enough of the bone to get at all the infection. This time they cut the entire top of the bone off to reveal the defect. Here are some photos of the surgery. The first if with the gum retracted, the holes in the bone are from infection, not made by the dentist. He described my jawbone as looking like swiss cheese. The second is with the entire top cut off. You can see there is a large defect in the bone.
Recovery
There was more than 1 point in this journey of mine that I simply thought I wouldn't make it. Towards the end the pain and feeling of sickness were getting to the point where I thought I would just simply die. The longer I was sick the more damage was happening to my body, and my body could no longer repair itself fast enough to keep me stable. Thankfully I found someone to essentially save my life, but I should never have had to go through this. It should have been picked up with my first x-ray that I had a serious problem and addressed then. But sadly as I have learnt doctors and dentists simply know nothing about the subject of bone infections in the mouth. And worse still they have no tools besides MRI to find them. But even with MRI I still couldn't get a diagnosis. I had to diagnose myself and go it alone outside the system with my own limited money. 8 months on from my last operation and I am doing considerably better. I no longer have chronic fatigue, and I get weeks where my health is normal. Sometimes I get a week or so when some of the symptoms return, pain in my neck, infection in my left tonsil, some chest pain. But it's becoming less and less these days. I've had my 6 month checkup, and I had thermal images taken of my face, which show I have pretty much all clear, which is fantastic news. Hopefully I have a real future ahead of me now.